Estudio Diagnóstico

Ecografía Ocular en Buenos Aires — Diagnóstico por Ultrasonido

Diagnóstico por ultrasonidos del globo ocular y la órbita. Eco A para biometría y Eco B para imagen cuando el fondo de ojo no es visible. Indispensable en medios opacos y patología tumoral.

Ultrasonido diagnóstico del ojo

La ecografía ocular utiliza ultrasonidos de alta frecuencia (10–20 MHz) para obtener imágenes del interior del ojo y la órbita. El modo A (unidimensional) mide distancias con alta precisión para biometría. El modo B (bidimensional) genera imágenes en tiempo real del polo posterior y la órbita.

Es fundamental cuando los medios oculares están opacos (catarata densa, hemorragia vítrea) y no es posible visualizar el fondo de ojo. Permite detectar desprendimiento de retina, tumores intraoculares, cuerpos extraños y patología orbitaria.

Ultrasonidos de alta frecuencia (10–20 MHz)
Modo A: biometría de alta precisión
Modo B: imagen en tiempo real del polo posterior
Indispensable con medios opacos
Diagnóstico de tumores y cuerpos extraños
Pedir turno por WhatsApp →
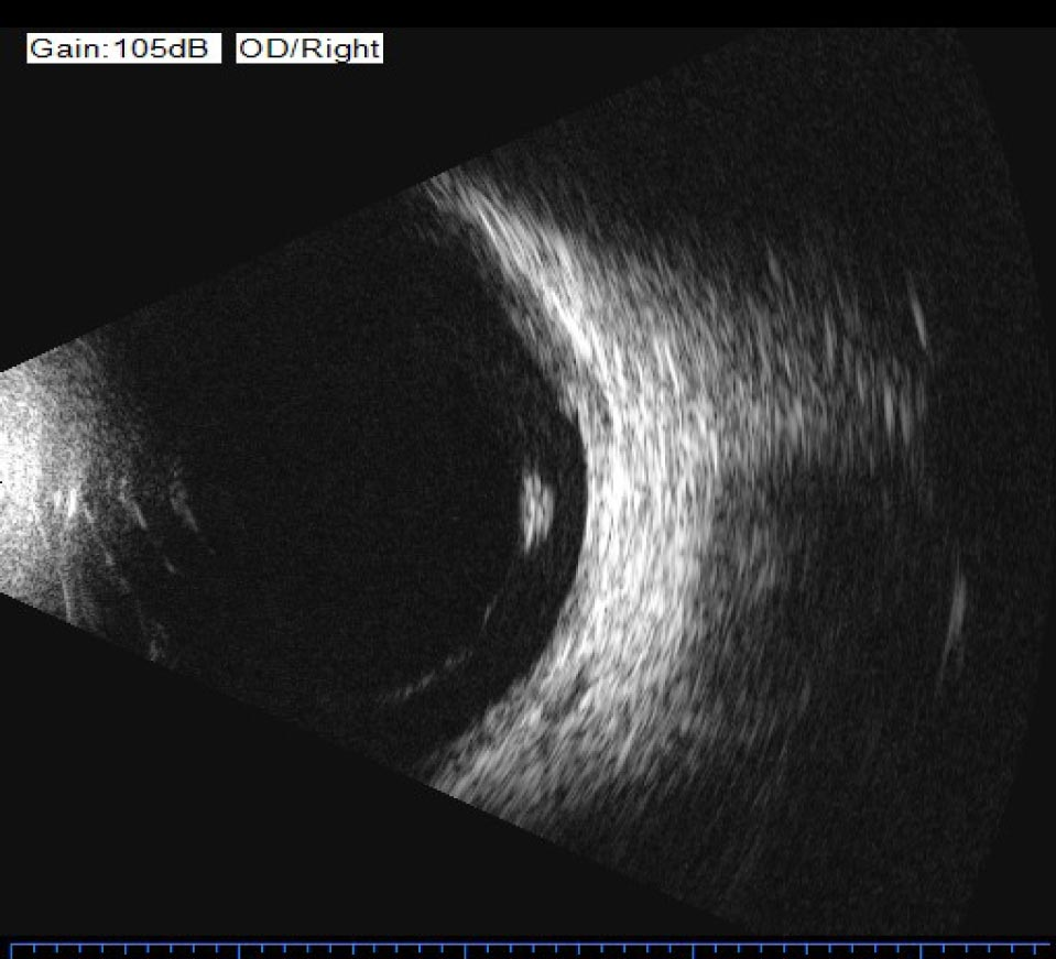
Ecografía ocular modo B – Centro de Ojos Liniers
Ultrasonido ocularDiagnóstico de precisión

¿Para qué se indica?

Medios Opacos

Cuando la hemorragia vítrea o la catarata densa impiden ver el fondo de ojo, la ecografía en modo B permite evaluar si la retina está aplicada y descartar patología grave.

Patología Tumoral

Diagnóstico diferencial de lesiones intraoculares: melanoma uveal, metástasis, hemangioma coroideo. La ecografía A caracteriza la reflectividad interna; la eco B muestra morfología y extensión.

Cuerpos Extraños

Localización de cuerpos extraños metálicos intraoculares con alta sensibilidad. Permite planificar la extracción quirúrgica y evaluar la relación con el polo posterior.

¿Necesita una ecografía ocular?

Realizamos ecografía ocular en el Centro de Ojos Liniers. Lun–Vie 10 a 18hs · Sáb 10 a 13hs. Atendemos pacientes de Ramos Mejía, Morón, Haedo, Ciudadela y zona oeste. Consulte por WhatsApp.